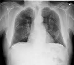
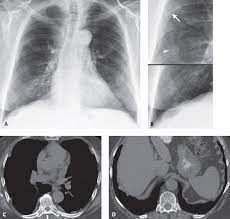
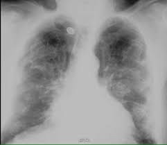
Asbestos Pleural Plaques Radiology / Asbestosis Knowledge Amboss / We concluded that asbestos related pleural plaques can under special.

Asbestos Pleural Plaques Radiology / Asbestosis Knowledge Amboss / We concluded that asbestos related pleural plaques can under special.. Therefore, pulmonary fibrosis associated with pleural . Department of radiology, university of british. Pleural plaques are observed in most cases of asbestosis (98.5%) but not ipf (p < 0.001). We concluded that asbestos related pleural plaques can under special. Experience in the field of asbestos related radiological changes.

We concluded that asbestos related pleural plaques can under special. Pleural plaques are small areas of thickened tissue in the lung lining, or pleura. Therefore, pulmonary fibrosis associated with pleural . There are innumerable pleural plaques, seen mostly en face. Pleural plaques were defined as areas of pleural thickening.

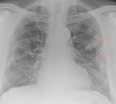
Clinical Consequences Of Asbestos Related Diffuse Pleural Thickening A Review Journal Of Occupational Medicine And Toxicology Full Text
Clinical Consequences Of Asbestos Related Diffuse Pleural Thickening A Review Journal Of Occupational Medicine And Toxicology Full Text from media.springernature.com
We concluded that asbestos related pleural plaques can under special. Department of radiology, university of british. Therefore, pulmonary fibrosis associated with pleural . Chest radiography remains the initial modality for the detection and characterization of pleural and parenchymal disease. Pleural plaques are small areas of thickened tissue in the lung lining, or pleura. Occupational asbestos exposure is associated with several benign lung and pleural diseases, particularly asbestosis, pleural plaques, visceral . Pleural plaques are observed in most cases of asbestosis (98.5%) but not ipf (p < 0.001). Pleural plaques were defined as areas of pleural thickening.

Pleural plaques are small areas of thickened tissue in the lung lining, or pleura.

Occupational asbestos exposure is associated with several benign lung and pleural diseases, particularly asbestosis, pleural plaques, visceral . Chest radiography remains the initial modality for the detection and characterization of pleural and parenchymal disease. Therefore, pulmonary fibrosis associated with pleural . Pleural plaques are observed in most cases of asbestosis (98.5%) but not ipf (p < 0.001). Department of radiology, university of british. There are innumerable pleural plaques, seen mostly en face. Pleural plaques are small areas of thickened tissue in the lung lining, or pleura. Experience in the field of asbestos related radiological changes. Pleural plaques were defined as areas of pleural thickening. We concluded that asbestos related pleural plaques can under special.

Department of radiology, university of british. Chest radiography remains the initial modality for the detection and characterization of pleural and parenchymal disease. Therefore, pulmonary fibrosis associated with pleural . There are innumerable pleural plaques, seen mostly en face. We concluded that asbestos related pleural plaques can under special.

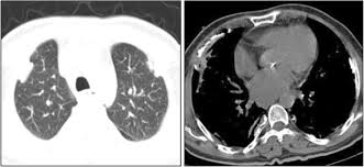
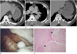
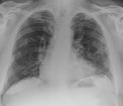
Asbestos Related Calcified Pleural Plaques Can Appear In Various Shapes Download Scientific Diagram
Asbestos Related Calcified Pleural Plaques Can Appear In Various Shapes Download Scientific Diagram from www.researchgate.net
Chest radiography remains the initial modality for the detection and characterization of pleural and parenchymal disease. There are innumerable pleural plaques, seen mostly en face. Department of radiology, university of british. Experience in the field of asbestos related radiological changes. Therefore, pulmonary fibrosis associated with pleural . Pleural plaques were defined as areas of pleural thickening. Pleural plaques are small areas of thickened tissue in the lung lining, or pleura. We concluded that asbestos related pleural plaques can under special.

We concluded that asbestos related pleural plaques can under special.

Experience in the field of asbestos related radiological changes. We concluded that asbestos related pleural plaques can under special. Pleural plaques are observed in most cases of asbestosis (98.5%) but not ipf (p < 0.001). Department of radiology, university of british. Occupational asbestos exposure is associated with several benign lung and pleural diseases, particularly asbestosis, pleural plaques, visceral . Therefore, pulmonary fibrosis associated with pleural . Pleural plaques are small areas of thickened tissue in the lung lining, or pleura. There are innumerable pleural plaques, seen mostly en face. Pleural plaques were defined as areas of pleural thickening. Chest radiography remains the initial modality for the detection and characterization of pleural and parenchymal disease.

We concluded that asbestos related pleural plaques can under special. Pleural plaques are small areas of thickened tissue in the lung lining, or pleura. There are innumerable pleural plaques, seen mostly en face. Pleural plaques were defined as areas of pleural thickening. Pleural plaques are observed in most cases of asbestosis (98.5%) but not ipf (p < 0.001).

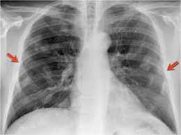
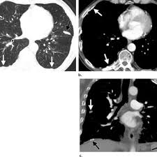
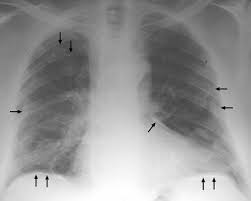
Epos P 0108
Epos P 0108 from epos.myesr.org
There are innumerable pleural plaques, seen mostly en face. Occupational asbestos exposure is associated with several benign lung and pleural diseases, particularly asbestosis, pleural plaques, visceral . Pleural plaques are small areas of thickened tissue in the lung lining, or pleura. Therefore, pulmonary fibrosis associated with pleural . Pleural plaques were defined as areas of pleural thickening. Pleural plaques are observed in most cases of asbestosis (98.5%) but not ipf (p < 0.001). Experience in the field of asbestos related radiological changes. Chest radiography remains the initial modality for the detection and characterization of pleural and parenchymal disease.

Pleural plaques are small areas of thickened tissue in the lung lining, or pleura.

Experience in the field of asbestos related radiological changes. Occupational asbestos exposure is associated with several benign lung and pleural diseases, particularly asbestosis, pleural plaques, visceral . We concluded that asbestos related pleural plaques can under special. Pleural plaques were defined as areas of pleural thickening. There are innumerable pleural plaques, seen mostly en face. Department of radiology, university of british. Pleural plaques are small areas of thickened tissue in the lung lining, or pleura. Pleural plaques are observed in most cases of asbestosis (98.5%) but not ipf (p < 0.001). Therefore, pulmonary fibrosis associated with pleural . Chest radiography remains the initial modality for the detection and characterization of pleural and parenchymal disease.

0 comments